10.29155/VET.60.222.2
Reporte de caso
Carcinoma de células escamosas palpebral en un equino tratado con electroquimioterapia: reporte de un caso
Palpebral squamous cell carcinoma in an equine treated with electrochemotherapy: a case report
Carcinoma espinocelular palpebral em equino tratado com eletroquimioterapia: relato de caso
Melanie Bazzano1 * 0009-0003-2853-2930
Natalia Bartesaghi2 0000-0002-7205-103X
Paula Pessina1 0000-0002-7809-9026
Pilar García3 0009-0002-5356-1461
Rosina Sánchez1 0000-0003-1002-8309
1 Laboratorio de Análisis Clínicos, Endocrinología y Metabolismo Animal, Departamento de Clínicas y Hospital Veterinario, Facultad de Veterinaria, Udelar. Autor para correspondencia: bazzanomelanie423@gmail.com
2 Unidad de Medicina de Pequeños Animales, Departamento de Clínicas y Hospital Veterinario, Facultad de Veterinaria, Udelar.
3 Ejercicio liberal de la profesión.
Resumen
El carcinoma de células escamosas (CCE) es uno de los tumores cutáneos más frecuentes en la clínica equina, la presentación a nivel de globo ocular y anexos es de complejo abordaje terapéutico. Existen varios factores asociados al riesgo de desarrollar este tipo de neoplasia, como la exposición a los rayos UV, la despigmentación y la predisposición genética de ciertas razas. La recurrencia tumoral es frecuente luego de la cirugía oncológica y en ocasiones debe optarse por un tratamiento paliativo. El objetivo de este trabajo fue presentar el caso clínico de un padrillo paint horse con CCE palpebral, el cual fue tratado con electroquimioterapia (ECT) como monoterapia. El procedimiento fue realizado bajo anestesia general a campo y se llevaron a cabo controles clínicos a los 7, 15 y 45 días pos ECT para evaluar la respuesta a esta. Se observó una remisión completa del tumor a los 45 días después del procedimiento. En la actualidad, 24 meses después de la aplicación de la ECT, no se ha observado recidiva en el animal. Sin embargo, el pronóstico es reservado, debido a las características biológicas inherentes al tipo tumoral y a las posibilidades de recurrencia reportadas para esta neoplasia. El caso clínico presentado nos brinda a la ECT como una técnica alternativa a la cirugía oncológica en el CCE palpebral equino.
Palabras clave: Campo eléctrico, Electroquimioterapia, Equino, Tratamiento, Tumores oculares.
Abstract
Squamous cell carcinoma (SCC) is one of the most common skin tumors in equine clinic, the presentation at the level of the eyeball and adnexa it is complex therapeutic approach. There are several factors associated with the risk of developing this type of neoplasia, such as exposure to UV rays, depigmentation and the genetic predisposition of certain breeds.
Tumor recurrence is frequent after oncological surgery and sometimes palliative treatment should be chosen. The objective of this work is to report a clinical case in a Paint Horse breeding equine with an eyelid SCC treated with Electrochemotherapy (ECT). The procedure was performed under general anesthesia in the field and later periodic controls were carried out on days 7, 15, 30 and 45 to evaluate the response of the ECT. Was obtained a satisfactory evolution in tumor involution 45 days after the procedure. At present, 24 months after applying the ECT, no recurrences have been observed in the animal. However, the prognosis is reserved, due to the biological characteristics inherent to the type of tumor and the possibilities of recurrence reported for this neoplasia. The clinical case presented offers us ECT as an alternative technique to oncological surgery in SCC of the equine eyelid.
Keywords: Ocular tumors, Electric field, Prognosis, Electrochemotherapy, Equine.
Resumo
O carcinoma de células escamosas (CCE) é um dos tumores cutâneos mais comuns na clínica equina e sua apresentação ao nível do globo ocular e anexos constitui uma abordagem terapêutica complexa. Existem vários fatores associados ao risco de desenvolvimento deste tipo de neoplasia, como a exposição aos raios UV, a despigmentação e a predisposição genética de determinadas raças. A recorrência tumoral é frequente após cirurgia oncológica e às vezes o tratamento paliativo deve ser escolhido. O objetivo deste trabalho é relatar um caso clínico em um equino reprodutor Paint Horse com Carcinoma Espinocelular (CEC) da pálpebra tratado com Eletroquimioterapia (ECT). O procedimento foi realizado sob anestesia geral em campo e posteriormente controles periódicos eram realizados os dias 7, 15, 30 e 45 para avaliar a resposta da ECT. Obteve-se evolução satisfatória na involução tumoral 45 dias após o procedimento. Atualmente, 24 meses após a aplicação da ECT, não foram observadas recidivas no animal. Contudo, o prognóstico é reservado, devido às características biológicas inerentes ao tipo de tumor e às possibilidades de recidiva relatadas para esta neoplasia. O caso clínico apresentado nos oferece a ECT como técnica alternativa à cirurgia oncológica no CEC de pálpebra equina.
Palavras-chave: Tumores oculares, Campo elétrico, Prognóstico, Eletroquimioterapia, Equino.
Fecha de recibido: 22/06/2023
Fecha de aceptado: 22/02/2024
Introducción
El carcinoma de células escamosas (CCE) es una neoplasia maligna de la piel originada de los queratinocitos del estrato malpighiano de la epidermis, puede mostrar grados variables de diferenciación escamosa (Ramos et al., 2007). Se presenta como el cáncer más común que afecta el ojo equino, seguido por los sarcoides (Michau et al., 2012; Sandmeyer et al., 2008). El CCE ocular surge principalmente del limbo, la membrana nictitante y los párpados superiores o inferiores. Si bien la etiología aún no está del todo dilucidada, existen varios factores de riesgo que se han vinculado a su desarrollo, en particular la exposición a la radiación UV, que produce daño en el ADN, y la interrupción de la vía supresora tumoral p53 (Knickelbein et al., 2018). Además, en equinos se ha evidenciado una asociación entre el CCE y el virus del papiloma-2 (EcPV-2) (Da Silva et al., 2022). Si bien el CCE puede presentarse con similar frecuencia en equinos de ambos sexos, existe una predilección racial por los caballos de tiro, entre ellos los appaloosas y american paints horse (Estell, 2017; Giuliano, 2010; Knickelbein et al., 2018).
El diagnóstico confirmatorio se lleva a cabo mediante histopatología, en la que se observan cordones y masas irregulares de células epidérmicas que proliferan e invaden la dermis (Montgomery, 2014; Ramos et al., 2007). Para determinar la extensión del CCE se debe realizar una evaluación cuidadosa del globo ocular, estructuras anexas y linfonodos regionales (Montgomery, 2014). En cuanto al pronóstico de la enfermedad, dependerá de factores como la ubicación y la progresión tumoral, así como también del tratamiento empleado (Abu-Seida et al., 2021; Crausaz et al., 2020; Drazek et al., 2015).
Las terapias para tumores sólidos en equinos, por lo general, se centran en un abordaje quirúrgico con resección amplia (Giuliano, 2010; Hewes & Sullins, 2009). Sin embargo, cuando la cirugía es incompleta o no puede llevarse a cabo, es posible aplicar terapias adyuvantes (Spugnini et al., 2021). En ese sentido, la electroquimioterapia (ECT) ha sido adoptada durante los últimos 15 años como una modalidad de tratamiento complementario para el control local de tumores sólidos en animales domésticos (Spugnini & Baldi, 2014; Spugnini et al., 2020; Tellado et al., 2022). En equinos, la ECT se ha empleado principalmente en el tratamiento de sarcoides, aunque también se informa su uso en CCE y melanomas (Rols et al., 2002; Spugnini et al., 2021; Tamzali et al. 2012; Tozon et al., 2016). En cuanto a su aplicación en CCE, los reportes informan su utilidad como adyuvante para incrementar el tiempo libre de enfermedad luego de la cirugía citorreductora (Spugnini et al., 2017; Spugnini et al., 2021). Sin embargo, no se han encontrado reportes de casos ni estudios poblacionales donde se utilice a la ECT como única modalidad terapéutica en el CCE equino. En cambio, en animales de compañía, su empleo de forma aislada es ampliamente reconocido por ser una alternativa conservadora a la cirugía oncológica (Simčič et al., 2020; Tellado et al., 2022; Tozon et al., 2014).
La ECT consiste en la permeabilización transitoria y reversible de las células mediante la aplicación de un campo eléctrico. De esta forma se aumenta la captación intracelular de fármacos citotóxicos, incrementando la eficacia anticancerígena hasta 1000 veces (Spugnini & Baldi, 2014; Spugnini & Baldi, 2019). La ECT también induce una respuesta del sistema inmunitario al estimular la muerte celular inmunogénica, y desencadena una respuesta inmune adaptativa antitumoral (Calvet et al., 2014; Calvet & Mir 2016). Las drogas citotóxicas más utilizadas son el cisplatino, el calcio y la bleomicina, esta última presenta la ventaja de destruir selectivamente células en replicación (Calvet et al., 2014). Si bien, en general, la bleomicina se administra por vía intravenosa, en equinos esta vía de administración no es recomendada debido a los grandes volúmenes a infundir, que podrían ocasionar graves efectos adversos (Calvet et al., 2014; Tellado et al., 2022; Tozon et al., 2014). Por lo antes expuesto, el fármaco más utilizado en esta especie es el cisplatino, aplicado en forma intralesional como única terapia y en adyuvancia con cirugía reductora (Giuliano, 2010; Tozon et al., 2016). El objetivo de este trabajo es presentar a la ECT como una alternativa terapéutica a la cirugía oncológica a través de la presentación de un caso clínico de un padrillo con CCE palpebral tratado con esta técnica.
Caso clínico
Se describe el caso clínico de un equino, macho entero de raza paint horse, 14 años de edad y 500 kg de peso aproximado. Su propietario solicitó atención veterinaria por motivo de una masa ulcerada en el párpado superior izquierdo, con 3 semanas de evolución.
Al realizar el examen objetivo general, no se observaron particularidades en la temperatura corporal (37,8 °C), frecuencia cardíaca (30 lpm) ni respiratoria (12 rpm). Los linfonodos submandibulares explorados por pellizcamiento se encontraban normales.
En el examen particular de piel, a la inspección se observó una masa ulcerada eritematosa de superficie irregular, de 3,2 cm de largo (medida tomada paralela al párpado) y 1,5 cm de ancho (de borde inferior a borde superior). Estaba ubicada en el párpado superior del ojo izquierdo y alcanzaba el canto lateral, limitándose a una zona de piel despigmentada. Se evidenció un moderado corrimiento seroso a causa del contacto de la masa con el párpado inferior (figura 1). En el momento de realizar la medición con calibre manual, se evidenció calor en la zona afectada.
El examen objetivo particular oftalmológico comenzó con la evaluación dinámica, en la que esquivó sin dificultad objetos colocados a modo de obstáculo. En la inspección de la lesión se encontró que los párpados del ojo izquierdo no eran cohesivos, sin embargo, ambos globos oculares conservaban su integridad. Se valoró la funcionalidad neurovisual mediante la respuesta de amenaza y los reflejos fotomotores pupilares de ambos ojos con estimulación lumínica (Irby, 2011); la respuesta fue normal (miosis) en ambos ojos. Utilizando la técnica sugerida por Montgomery (2014), se observaron ambas mucosas oculares de coloración rosa y se descartaron por palpación digital de ambos globos oculares posibles infiltraciones locales del tumor. No se realizaron maniobras complementarias ni estudios colaterales de imagen, pero sí pruebas de laboratorio para evaluar el estado general del paciente. Para ello se extrajeron 5 mL de sangre de la vena yugular, con agujas 21G y se dividieron en 2 submuestras. Una de ellas se colocó en un tubo con EDTA, para la realización de un hemograma completo, y la otra en un tubo sin anticoagulante, para la determinación de la bioquímica sérica. Las muestras se trasladaron refrigeradas a 4 °C al Laboratorio de Análisis Clínicos de Facultad de Veterinaria (Montevideo, Uruguay).
Figura 1: Imagen de las características y localización tumoral previo a la electroquimioterapia (ECT). Se observa que el tumor alcanza el canto lateral del ojo y hay pérdida de pestañas en el extremo lateral palpebral

Análisis de laboratorio
El hemograma se realizó en un contador hematológico (Orphée, Mythic 18 Vet, Ginebra, Suiza). Para el recuento diferencial de los leucocitos y valoración de la morfología celular se realizó un frotis sanguíneo teñido con May Grunwald - Giemsa. En cuanto al leucograma, se pudo observar una linfopenia y neutrofilia leve, con un recuento leucocitario dentro de los valores de referencia para la especie. En el eritrograma se observó un valor de hematocrito cercano al Límite Inferior de Referencia (LIR) y una leve elevación en el índice de anisocitosis (tabla 1).
Tabla 1: Resultados hematológicos del equino con CCE

La bioquímica se determinó en suero con un equipo semiautomático CB 350i (Wiener lab Group, Rosario, Argentina). Se determinó aspartato aminotransferasa (AST), fosfatasa alcalina sérica (FAS), γ glutamil transferasa, proteínas totales, albúmina, globulinas, colesterol, bilirrubina total, urea y creatinina. Se observó en el perfil renal un aumento moderado de la creatinina. En el perfil hepático se observó una leve hipoalbuminemia con aumento de las enzimas FAS y AST (tabla 2).
Tabla 2: Resultados de bioquímica sérica del equino con CCE

Tratamiento
Como medida inicial se modificó el manejo, restringiendo la exposición solar, y se indicó fenilbutazona (dosis inicial 4,4 mg/kg, IV) durante 3 días (2,2 mg/kg cada 12 horas, PO) para paliar el dolor y controlar la inflamación.
Con la valoración completa del equino y considerando el bienestar, la calidad de vida y la funcionalidad del animal se plantean al propietario las posibilidades diagnósticas y de tratamiento. Entre las opciones terapéuticas están la remoción quirúrgica (que incluye una porción del párpado superior), la enucleación del globo ocular (para asegurar la resección completa y con márgenes libres de células tumorales) o la electroquimioterapia (ECT); todas ellas acompañadas de una biopsia incisional para realizar el estudio histopatológico confirmatorio de la neoformación.
La terapia de elección fue la ECT, se realizó un tratamiento previo de 3 días con antibioticoterapia (penicilina-estreptomicina 25 000 UI/kg, IM + gentamicina 6,6 mg/kg IV, SID). Como agente analgésico y antiinflamatorio se le administró fenilbutazona (2,2 mg/kg, IV SID).
El procedimiento de ECT se realizó bajo anestesia general a campo, utilizando xilacina (1 mg por kg, IV), diazepam (0,05 mg por kg IV) y ketamina (2,2 mg por kg, IV) para el derribo. El mantenimiento del plano anestésico se llevó a cabo con triple goteo (éter gliceril guayacolato al 5 % en 500 ml de suero glucosado con 10 ml de ketamina al 10 % y 5 ml de xilacina al 10 %), administrado a razón de 1 a 1,4 ml/kg/hora. Se realizó la monitorización de los parámetros fisiológicos durante todo el procedimiento. La anestesia general se complementó con el bloqueo motor del nervio auriculopalpebral, que limitó el reflejo palpebral y un bloqueo sensitivo del nervio supraorbital para garantizar la anestesia local (10 ml totales de lidocaína 2 %) (Auer et al., 2019). Una vez que el animal se encontró bajo un plano anestésico/analgésico adecuado, se desinfectó la zona y se obtuvo la muestra escisional de 0,3 × 0,3 cm de tamaño, que se sumergió en formol bufferado al 10 %, y se remitió a un laboratorio particular para su estudio histopatológico.
Para realizar la técnica de infiltración intratumoral, en primer lugar, se calculó el volumen tumoral y la cantidad de bleomicina (concentración: 1500 UI/ml) a administrar (ecuación 1), la dosis intratumoral recomendada fue de 250 UI/cm³ tumoral (Gehl et al., 2018; Tellado et al., 2022).
Ecuación 1: Donde V es el volumen tumoral, a es el largo y b es el ancho del tumor

El tratamiento consistió en una única sesión de ECT, se insertó una aguja 23G en un solo punto en el centro del tumor para administrar radialmente los 0,63 ml del citotóxico. De forma inmediata, se aplicó el campo eléctrico. Se optó por un electrodo estándar (CE) de la serie E descartable (E64) con 6 agujas gruesas (20 G a 4 mm). El equipo empleado para el procedimiento fue un electropolador veterinario, modelo EPV-100 de Biotex SRL (Buenos Aires, Argentina) (figura 2). Los parámetros para la aplicación fueron los siguientes: 8 pulsos de 400 V con 100 μs cada uno a una frecuencia de repetición de 5000 Hz; el total fue de 800 μs entregados.
Figura 2: A la izquierda se muestra el equipo electropolador veterinario (modelo EPV-100) y a la derecha el electrodo estándar de 6 agujas utilizados en el procedimiento de electroquimioterapia

Finalizado el procedimiento, el equino se recuperó en un ambiente tranquilo. No se observaron efectos adversos asociados al empleo de bleomicina. Se indicó continuar vía sistémica con fenilbutazona (2,2 mg/kg cada 12 horas durante 3 días seguidos) y penicilina-estreptomicina (25 000 UI/kg IM) en combinación con gentamicina (6,6 mg/kg IV SID) hasta completar los 7 días de antibioticoterapia. Se recomendó como medida de manejo la colocación de una máscara protectora del sol.
Resultados
Histopatología
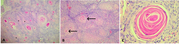
El resultado del estudio histopatológico confirmó la sospecha clínica de CCE. Se informó una neoformación no encapsulada y no delimitada, constituida por células escamosas moderadamente anaplásicas que se disponían formando cordones y nidos (figura 3). Estas células poliédricas presentaban moderada a abundante cantidad de citoplasma eosinófilo, núcleo de forma ovalada y de grandes dimensiones, con uno o varios nucléolos eosinófilos prominentes. Se observaron de 3 a 4 mitosis por campo. También se describe la presencia en la dermis de abundantes islotes de epitelio escamoso con disqueratosis central (cebolletas córneas). Entremezclado con los nidos de células neoplásicas se encontraba infiltración por plasmocitos. En los bordes quirúrgicos se observó la presencia de células neoplásicas. Dicha evaluación fue consistente con Carcinoma de Células Escamosas (CCE).
Figura 3: Imágenes histopatológicas de la muestra incisional del tumor. A: Se observan células escamosas formando cordones y nidos (*) rodeados de plasmocitos. H & E, 10x. B: Formación de islotes de epitelio escamoso con cebolletas córneas (flechas). H & E, 100x. C: A mayor aumento “cebolletas córneas” características del carcinoma de células escamosas (CCE). H & E, 400x

Evolución clínica de la electroquimioterapia
A los siete días de la electroquimioterapia (ECT) se realizó un control clínico para evaluar la evolución del tumor y el estado inflamatorio del tejido circundante. Se observaron signos de inflamación en el tejido no tumoral, que incluía los párpados (blefaritis) y la conjuntiva ocular (conjuntivitis). Se recomendó continuar el tratamiento médico farmacológico con fenilbutazona (2,2 mg/kg cada 12 horas durante tres días), además del manejo del animal con respecto a la exposición solar de la lesión. En el segundo control, a los 15 días pos ECT, se observó una notoria reducción de la lesión y la ausencia de inflamación en los tejidos circundantes. En una tercera instancia, un mes y medio después del tratamiento, el padrillo vuelve a ser evaluado, en ese momento se observó un tejido cicatrizal de apariencia normal. Se mantuvo la indicación del uso de una mascarilla para la protección de la lesión. La evolución posquirúrgica se muestra en la figura 4.
Figura 4: Evolución del tejido tumoral a los 7 (A), 15 (B) y 45 días (C) poselectroquimioterapia. A: Se observa inflamación en el tejido circundante al tumor, lo que evidencia zonas de necrosis (flecha negra). B: Reducción de la inflamación. La flecha blanca muestra la formación de una costra donde se ubicaba el tumor

Hasta el momento de la escritura de este reporte de caso (24 meses) no se han presentado recidivas (figura 5).
Figura 5: Estado actual del área tratada con electroquimioterapia (ECT). Se puede observar el tejido totalmente cicatrizado, así como la funcionalidad palpebral conservada

Discusión
El presente artículo describe el caso de la aplicación de electroquimioterapia (ECT) en un padrillo con carcinoma de células escamosas (CCE) palpebral. De acuerdo con los datos de la bibliografía, se trata de un animal de raza paint horse, con predilección a desarrollar CCE, que se explica por la capa clara del pelaje y las zonas de piel despigmentada, excesivamente expuesta a los rayos UV (Estell, 2017; Knickelbein et al., 2018). La afección unilateral con el ojo contralateral sano es acorde con lo reportado en la literatura internacional (Montgomery, 2014). Sin embargo, un 20 % de los casos puede presentarse de forma bilateral (Giuliano, 2010; Sandmeyer et al., 2008).
El tratamiento habitual del CCE es la escisión quirúrgica, que puede ser curativa si los márgenes libres de tumor son de 2 cm o más (Giuliano, 2010; Hewes & Sullins, 2009). Sin embargo, las complicaciones quirúrgicas son frecuentes, ya que la piel periocular equina tiene la particularidad de estar firmemente adherida a la fascia y tener un menor riego sanguíneo superficial (Giuliano, 2010), lo que aumenta el riesgo de dehiscencia o necrosis de las blefaroplastias reconstructivas (Auer et al., 2019). Por otro lado, cuando la masa es de gran tamaño o su ubicación anatómica dificulta la cirugía, se opta por una biopsia incisional o cirugía citorreductora (Drazek et al., 2015; Estell, 2017). En cuanto a la recurrencia tumoral, Mosunic et al. (2004) reportaron un 44,1 % en CCE ocular tratado solo con cirugía, mientras que la recidiva fue del 11,9 % en los equinos sometidos a escisión quirúrgica con radioterapia adyuvante.
La ECT, la radiación intersticial/braquiterapia, la radiación con estroncio 90, la criocirugía y la terapia fotodinámica son opciones de terapia adyuvante para el CCE equino (Giuliano, 2010). También se consideran una alternativa cuando el acto quirúrgico no puede llevarse a cabo debido a factores relevantes como el comportamiento biológico agresivo y la localización tumoral (Drazek et al., 2015; Rangela et al., 2019; Tamzali et al., 2012; Tellado et al., 2022). En el presente reporte de caso, se optó por la ECT como tratamiento de primera línea y como monoterapia para tratar el CCE palpebral por la ubicación del tumor, la probabilidad de complicaciones de la opción quirúrgica y el riesgo de comprometer la funcionalidad del globo ocular. Previo al procedimiento se realizaron estudios de laboratorio, lo que evidenció neutrofilia y linfopenia leves en el hemograma. La neutrofilia, posiblemente asociada a la inflamación concomitante, careció de relevancia clínica. En la bioquímica sanguínea se observaron hiperalbuminemia y elevación de la creatinina sérica, atribuibles al estado nutricional y desarrollo muscular del padrillo (Assenza et al., 2016).
La ECT es utilizada ampliamente como tratamiento adicional al de primera línea en medicina humana y veterinaria, en particular en equinos, en aquellos casos donde la extirpación completa del tumor no es posible (Rols et al., 2002; Spugnini et al., 2017; Spugnini & Baldi, 2019). Por otro lado, existen experiencias de su aplicación como monoterapia en melanomas cutáneos, donde 2 de los 9 animales incluidos en el estudio presentaron remisión completa y 7 mantuvieron remisiones parciales o enfermedad estable luego de la aplicación de 2 sesiones de ECT (Spugnini et al., 2021). En cuanto al uso en sarcoides oculares, se informan remisiones completas hasta 4 años luego del tratamiento con ECT, con un número de sesiones variable (de 1 a 4), dependiendo del tamaño tumoral (Tamzali et al., 2012). Hasta donde tenemos conocimiento, este es el primer reporte de ECT como primera elección terapéutica y monoterapia en el tratamiento de CCE equino.
Si bien han sido descritos graves efectos adversos por el empleo intravenoso de bleomicina en esta especie, en el presente caso se optó por emplear dicha droga de modo intratumoral, basados en su mayor eficacia contra el CCE reportado en otras especies y su menor toxicidad al aplicarse menores volúmenes (Simčič et al., 2020; Tellado et al., 2022; Tozon et al., 2014).
La inflamación y necrosis observadas en el equino, posteriores a la aplicación de ECT, eran esperables y se deben al propio efecto mecánico y químico que sufre el tejido por la aplicación de la técnica, pero al mismo tiempo es parte de la activación inmunitaria local, descrita como uno de los mecanismos de acción de esta (Calvet et al., 2014; Calvet & Mir, 2016). Se recomienda un seguimiento de la evolución a los 15 días, 2, 4 y 6 meses, y, en cada control, se debe medir el tamaño de la lesión y fotografiarla para documentar la respuesta a la terapia (Tellado et al., 2021). En nuestro caso, el seguimiento se realizó a los 7, 15 y 45 días posaplicación, se observó una reducción progresiva del tamaño y la remisión completa del tumor. Respecto al pronóstico, es reservado, debido a las características biológicas inherentes al tipo tumoral y a la recurrencia descrita para esta neoplasia (Michau et al., 2012; Montgomery, 2014). Una limitante de nuestro trabajo es no haber realizado estudios de imagenología como ultrasonografía, resonancia magnética o tomografía computada para descartar neoformaciones o invasión orbital e intraocular, lo que podría cambiar el tratamiento y pronóstico del animal (Abu-Seida et al., 2021; Drazek et al., 2015).
Conclusiones
La aplicación de electroquimioterapia (ECT) como única modalidad de tratamiento en el carcinoma de células escamosas (CCE) palpebral equino obtuvo un resultado satisfactorio que logró la remisión tumoral completa. Además, no se han informado recidivas hasta la elaboración de este reporte, por lo que se considera la ECT una técnica eficaz para este tipo de tumor en oncología equina.
Referencias
Abu-Seida, A. M., Wafy, M. N., Hassan, E. A., & Ahmed, K. A. (2021). Gigantic ocular squamous cell carcinoma mixed with fibrosarcoma in a mare: Clinical, laboratory, ultrasonography and histopathology findings. Journal of Equine Veterinary Science, 102, 103639.
Assenza, A., Marafioti, S., Congiu, F., Giannetto, C., Fazio, F., Bruschetta, D., & Piccione, G. (2016). Serum muscle-derived enzymes response during show jumping competition in horse. Veterinary World, 9(3), 251-255.
Auer, J., Stick, J., Kumerle, J., & Prange, T. (2019). Equine Surgery (5.ª ed.). St. Louis: Elsevier.
Calvet, C. Y., Famin, D., André, F. M., & Mir, L. M. (2014). Electrochemotherapy with bleomycin induces hallmarks of immunogenic cell death in murine colon cancer cells. Oncoimmunology, 3(4), 1-10.
Calvet, C.Y., & Mir, L.M. (2016). The promising alliance of anti-cancer electrochemotherapy with immunotherapy. Cancer and Metastasis Reviews, 35(2), 165-77.
Crausaz, M., Launois, T., Smith-Fleming, K., McCoy, A. M., Knickelbein, K. E., & Bellone, R. R. (2020). DDB2 Genetic Risk Factor for Ocular Squamous Cell Carcinoma Identified in Three Additional Horse Breeds. Genes, 11(12), 1460.
Da Silva, T., Gonçalves, P., & Marcus, V. (2022). Detection of Equus caballus papillomavirus-2 in equine penile/preputial papillomas and squamous cell carcinomas in southern Brazil. Brazilian Journal of Microbiology, 53(3), 1707-1713.
Drazek, M., Lew, M., Lew, S., Szarek, J., Balicki, I., & Della Salda, L. (2015). Equine ocular squamous cell carcinoma: a case report. Veterinární Medicína, 60(7), 379-386.
Estell, K. (2017). Periocular Neoplasia in the Horse. Veterinary Clinics of North America: Equine Practice, 33(3), 551-562.
Gehl, J., Sersa, G., Wichmann, L., Muir. T., Soden, D., Occhini, A., … Mir, L. (2018). Updated standard operating procedures for electrochemotherapy of cutaneous tumours and skin metastases. Acta Oncologica, 57(7), 874-882
Giuliano, E. A. (2010). Equine periocular neoplasia: current concepts in aetiopathogenesis and emerging treatment modalities. Equine Veterinary Journal. Supplement, 42(S37), 9-18.
Hewes, C. A., & Sullins, K. E. (2009). Review of the treatment of equine cutaneous neoplasia. Proceedings of the Annual Convention of the American Association of Equine Practitioners, 55, 386-393.
Irby, N. L. (2011). Neuro-ophthalmology in Horses. Veterinary Clinics of North America: Equine Practice, 27(3), 455-479.
Knickelbein, K. E., Lassaline, M. E., & Bellone, R. R. (2018). Limbal squamous cell carcinoma in a Rocky Mountain Horse: Case report and investigation of genetic contribution. Veterinary Ophthalmology, 22(2), 201-205.
Michau, T. M., Davidson, M. G., & Gilger, B. C. (2012). Carbon dioxide laser photoablation adjunctive therapy following superficial lamellar keratectomy and bulbar conjunctivectomy for the treatment of corneo limbal squamous cell carcinoma in horses: a review of 24 cases. Veterinary Ophthalmology, 15(4), 245-253.
Montgomery, K. W. (2014). Equine ocular neoplasia: A review. Equine Veterinary Education, 26(7), 372-380.
Mosunic, C. B., Moore, P. A., Carmicheal, K. P., Chandler, M. J., Vidyashankar, A., Zhao, Y., … Dietrich, U. M. (2004). Effects of treatment with and without adjuvant radiation therapy on recurrence of ocular and adnexal squamous cell carcinoma in horses: 157 cases (1985-2002). Journal of the American Veterinary Medical Association, 225(11), 1733-1738.
Oregon State University. (2023a). Chemistry reference intervals (Documento n.o QR-CLP-19). Oregon: Oregon Veterinary Diagnostic Laboratory.
Oregon State University. (2023b). Hematology and coagulation reference intervals (Documento n.o QR-CLP-18.4). Oregon: Oregon Veterinary Diagnostic Laboratory.
Ramos, A., Nort, D., Eliasi, F., & Fernandes, C. (2007). Carcinoma de células escamosas em bovinos, ovinos e eqüinos: estudo de 50 casos no sul do Rio Grande do Sul. Brazilian Journal of Veterinary Research and Animal Science, 44, 5-13.
Rangela, M., Luza, J., Oliveira, K., Ojedab, J., Freytaga, J., & Suzukic, D. (2019). Electrochemotherapy in the treatment of neoplasms in dogs and cats. Austral Journal of Veterinary Sciences, 51(2), 45-51.
Rols, M., Tamzali, Y., & Teissié, J. (2002). Electrochemotherapy of horses. A preliminary clinical report. Bioelectrochemistry, 55(1-2), 101-105.
Sandmeyer, L.S., Panizzi, L., & Grahn, B.H. (2008). Diagnostic ophthalmology. Squamous cell carcinoma. Canadian Veterinary Journal, 49(3), 309-310.
Simčič, P., Lowe, R., Granziera, V., Pierini, A., Torrigiani, F., & Lubas, G. (2020). Electrochemotherapy in treatment of canine oral non-tonsillar squamous cell carcinoma. A case series report. Veterinary and Comparative Oncology, 3, 428-432.
Spugnini, E. P., & Baldi, A. (2014). Electrochemotherapy in veterinary oncology: from rescue to first line therapy. Methods in Molecular Biology (Clifton, N.J.), 1(121), 247-256.
Spugnini, E. P., & Baldi, A. (2019). Electrochemotherapy in veterinary oncology: State-of-the-art and perspectives. The Veterinary Clinics of North America. Small Animal Practice, 49(5), 967-979.
Spugnini, E.P., Bolaffio, C., Scacco, L., & Baldi, A. (2017). Isolated limb perfusion electrochemotherapy for the treatment of an advanced squamous cell carcinoma of the hoof in a mare. Open Veterinary Journal, 7(2), 192-196.
Spugnini, E. P., Scacco, L., Bolaffio, C., & Baldi, A. (2021). Electrochemotherapy for the treatment of cutaneous solid tumors in equids: A retrospective study. Open Veterinary Journal, 11(3), 385-389.
Spugnini, E. P., Vincenzi, B., Carocci, F., Bonichi, C., Menicagli, F., & Baldi, A. (2020). Combination of bleomycin and cisplatin as adjuvant electrochemotherapy protocol for the treatment of incompletely excised feline injection-site sarcomas: A retrospective study. Open Veterinary Journal, 10(3), 267-271.
Tamzali, Y., Borde, L., Rols, M.P., Golzio, M., Lyazrhi, F., & Teissie, J. (2012). Successful treatment of equine sarcoids with cisplatin electrochemotherapy: a retrospective study of 48 cases. Equine Veterinary Journal, 44(2), 214-20.
Tellado, M., Maglietti, F., & Impellizeri, J. (2021). Electrochemotherapy as a multi-modality component of cancer treatment: combinations with surgery, cryosurgery, radiation therapy, and chemotherapy. En J.A. Impellizeri (Ed.), Electroporation in Veterinary Oncology Practice (pp. 205-216). Gewerbestrasse: Springer.
Tellado, M., Mir, L. M., & Maglietti, F. (2022). Veterinary guidelines for electrochemotherapy of superficial tumors. Frontiers in Veterinary Science, 9, 868989.
Tozon, N., Kramaric, P., Kos Kadunc, V., Sersa, G., & Cemazar, M. (2016). Electrochemotherapy as a single or adjuvant treatment to surgery of cutaneous sarcoid tumours in horses: a 31-case retrospective study. Veterinary Record, 179(24), 627.
Tozon, N., Pavlin, D., Sersa, G., Dolinsek, T., & Cemazar, M. (2014). Electrochemotherapy with intravenous bleomycin injection: an observational study in superficial squamous cell carcinoma in cats. Journal of Feline Medicine and Surgery, 16(4), 291-299.
Nota de contribución
1 Conceptualización, 2 Investigación, 3 Metodología, 4 Supervisión, 5 Visualización, 6 Escritura – borrador original, 7 Escritura – revisión y edición.
Melanie Bazzano ha contribuido en 2, 5, 6, 7. Rosina Sánchez Solé ha contribuido en 5, 6, 7. Pilar García ha contribuido en 2, 3, 7. Paula Pessina ha contribuido en 4, 6, 7. Natalia Bartesaghi ha contribuido en 1, 2, 3, 7.
Nota del editor
La editora Cecilia Cajarville aprobó este artículo.